Быстрая навигация:
→ Раздражительность – это нормально?
→ Вопрос – почему я раздражаюсь?
→ Что делать: лечить раздражительность таблетками?
→ Эффективная психотерапия раздражительности
→ Наши гарантии на психологическую коррекцию проблемы раздражительности
Homo sapiens, или «Человек разумный», очень часто поступает неразумно. Неконтролируемые вспышки гнева – яркий пример того, как «природа» берет вверх над разумом. Это сплошь и рядом случается в семьях. Где, как не в узком кругу близких людей можно «расслабиться»? Например, накричать на детей и получить психологическое облегчение. Облегчение, правда, временное, а после него – угрызения совести.
Между тем семья – это общность. И уж если люди собрались в «ячейку общества», значит, сделали это с какой-то целью. И этой целью, скорее всего, является не конфронтация или война, а комфорт и мир. И если мир построить не выходит, а от «стройки» лишь уши закладывает – значит, существует проблема, и ее нужно решать.
Раздражительность – это нормально?
Раздражительность, как и гнев, это эмоция. Эмоция эта является ни плохой, ни хорошей. Она нормальная. Человек раздражается, когда его раздражают. Но если раздражитель незначительный, а человек раздражается непропорционально бурно, и делает это с завидным постоянством – норма становится проблемой.
Раздражительного человека узнаешь за версту:
«фонтанирует» негативными эмоциями на ровном месте;
вспыхивает, как спичка, в ответ на малейший раздражитель;
на пике эмоций утрачивает контроль над словами или поступками;
имеет изможденный, уставший, апатичный или пессимистичный вид;
склонен к частым и резким сменам настроения и депрессивным состояниям.
Раздражительность – состояние неприятное и вредное. Страдают все – и агрессор, и его невинные жертвы. Потому что если бомба взорвалась – тем, кто рядом, мало не покажется. И самому агрессору не поздоровится. Агрессия – это энергия, а вспышка гнева – энергопотеря. Гневливый человек:
ощущает потерю энергии и упадок сил;
чувствует вину за причинение вреда;
со временем впадает в депрессию.
Быть может, выход – не проявлять, а подавлять вспышки гнева? К сожалению, не выход. Подавленная агрессия начнет разрушать изнутри и проявляться в виде:
сплетен, клеветы и интриг – «тихой» агрессии;
фобий, неврозов и других психических проблем;
аутодеструктивного (саморазрушающего) поведения;
болезней психосоматического («от нервов») характера.
Ничем хорошим раздражительность не заканчивается, как ее ни крути. Может разрушить здоровье, семью, дружбу, карьеру – что выбираете вы? Если выбираете благополучие – значит, стоит обстоятельно разобраться, почему вы реагируете так, а не иначе.
Вопрос – почему я раздражаюсь?
На ровном месте ни один homo sapiens не превращается в изрыгающего пламя дракона. У раздражительности всегда есть причина. Как правило, одна из двух – психологическая травма или нервное истощение.
Психологическая травма
Травмы обычно наносятся в детстве. К примеру, родители часто ссорились – выясняли отношения с криком и руганью. Ребенок впечатлился, и громкая речь законсервировалась в психике в виде триггера. Ребенок вырос, а «консерва» в голове осталась. И теперь любые громкие звуки (дети шумят) вызывают бурную реакцию. Контролировать эту реакцию, как правило, нельзя. Человек может понимать нелепость своего поведения, но ничего поделать не может – психотравма «проросла» в подсознательное.
Нервное истощение
Психика может травмироваться и другим образом – истощиться от перегрузок. В условиях современности заработать такое истощение несложно. Достаточно делать все возможное, чтобы жизнь соответствовала «высокому стандарту качества» – впрячься во множество дел. А психика между тем имеет предел прочности. На сверхвысокие нагрузки она не рассчитана. Дойдя до точки кипения, начинает испаряться – истощаться, а истощенная психика, как оголенный провод. Дотронешься – взрыв.
Есть и другие причины, но эти – главные. А вообще все причины упираются в мозг. Ведь наша жизнь – это работа нашего мозга. Благодаря этой работе мы думаем, чувствуем, переживаем, видим и слышим – живем! Раздражаемся тоже «благодаря» Его Величеству Мозгу.
Как рождаются эмоции?
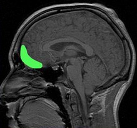
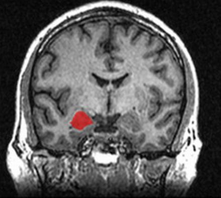
За наши эмоции отвечает лимбическая система головного мозга. Именно она выдает вегетативные и эндокринные реакции (выброс гормонов, учащение сердцебиения и т.д.) в ответ на раздражитель. Что касается такой эмоции, как агрессия, эта реакция возникает в крошечном органе лимбической системы, расположенном в глубине височной доли – миндалевидном теле.
В норме нейроны этой зоны возбуждаются при сильной стимуляции – когда человека действительно «достали» и нужно постоять за себя. Отстоял себя – и нейроны лимбической системы успокоились. У человека с психологической травмой или эмоциональным истощением нейроны миндалевидного тела постоянно находятся в состоянии «боевой готовности» – возбуждены.
Наряду с гиперактивностью нейронов миндалевидного тела, у раздражительных людей наблюдается пониженная активность нейронов префронтальной коры (передней части лобных долей), а эта зона, между прочим, отвечает за механизмы подавления агрессии – контроль эмоциональных и поведенческих реакций.
Когда активность лобных долей подавлена, а миндалевидное тело возбуждено, любой слабый раздражитель вызывает бурную реакцию. О вреде этой реакции мы рассказали, но пока так и не ответили на главный вопрос – что делать?
Что делать: лечить раздражительность таблетками?
После чтения предыдущей главы у многих возникнет соблазнительная идея «вылечить» раздражительность таблетками. Действительно, раз в функционировании нейронной системы случился перекос – давайте его восстанавливать! Благо, фармацевтическая промышленность предлагает много «пилюль». Где надо – тонус поднимут. Где надо – расслабят.
Действительно, гармонию можно восстановить лекарствами. Правда, ненадолго. И с последствиями. Потому что таблетки, способные что-то отрегулировать в головном мозге, работают по принципу «здесь и сейчас». Пьешь – помогают. Прекратил – снова «взрываешься». А еще их применение (если речь идет о работающих лекарствах) реально опасно. Проблемы с памятью, сонливость, депрессивность – типичные последствия лечения раздражительности медикаментами. И многие из них вызывают зависимость…
Эффективная психотерапия раздражительности
Есть еще два достойных внимания варианта решения проблемы раздражительности:
Проблему можно попробовать решить самостоятельно. Проанализировать возможные причины и научиться выражать гнев конструктивно. Если причина лежит на поверхности, энергию агрессии реально направить в мирное русло. Достаточно обучить себя новому навыку реагирования. Ведь привычка – не группа крови. Ее можно менять.
Но чаще проблема залегает глубже – в пластах бессознательного. Добраться туда может только специалист и только с помощью правильных инструментов. Таким специалистом является психотерапевт. Инструментами – методы психотерапевтической помощи, в числе которых EDMR-терапия, когнитивно-поведенческая терапия, гипноз.
Преимущества психотерапии:
Звучит привлекательно, но многие зададутся вопросом: «А где гарантии?». Действительно, отдавая деньги, хочется получить результат.
Наши гарантии на психокоррекцию проблемы раздражительности
Почти никто из специалистов не дает на психотерапевтическую работу гарантий – душа, мол, дело тонкое. Специалисты центра «ВСД-Хелп» считают иначе. Мы готовы минимизировать ваши риски и вернуть вам деньги по требованию в течение 14 дней после первого сеанса, если вы старательно выполняете упражнения. Подробнее о гарантиях читайте в нашей статье.
Если вы не хотите принимать лекарства, устали бороться с проблемой самостоятельно или имеете негативный опыт обращения за психотерапевтической помощью – позвоните в наш центр или оставьте заявку на сайте. И через 10-15 сеансов вы обретете больше внутреннего спокойствия, эмоционального баланса, психологического иммунитета и веры в психотерапию!
Опубликовано: 25.06.2019
Дата последней правки: 22.01.2021
Автор: Алексей Корнеев
